アポクル予約
※インターネットからの予約方法

※手術の写真を掲載しておりますので、
苦手な方はご注意ください。

胆嚢の病気について
胆嚢粘液嚢腫という病気をご存知ですか?
まず胆嚢とは、肝臓に隣接して胆汁を貯め濃縮している袋の様な臓器です。胆汁には、脂肪を分解する働きがあり必要に応じて総胆管と呼ばれる管から十二指腸に排出されます。この胆汁が胆嚢の中にゼリー状に蓄積して炎症を起こしたり総胆管で詰まってしまって閉塞を起こしてしまう病気が胆嚢粘液嚢腫です。
高齢で高脂血症を起こしやすい犬種であるミニチュア・シュナウザーさん、シェルティーさんや慢性的に高脂肪食を給餌している場合、甲状腺機能低下症の病気などで生じる場合もあります。以下に胆嚢粘液嚢腫の症状を示します。
・黄疸(体や眼)
・食欲不振
・吐き気
・発熱
・腹痛
・全身の虚脱
血液検査においては肝数値の上昇、T-Bilの上昇、超音波画像検査においてはキウイフルーツの様な特徴的な胆嚢の内腔の見え方を示します。
これらの検査において胆嚢粘液嚢腫と診断します。
治療は、薬剤や低脂肪食を用いる内科療法と胆嚢を摘出する外科療法があります。

今回紹介する症例は、背中を丸めて動かなくなったという主訴で来院され超音波画像検査において胆嚢粘液嚢腫と診断された症例です。
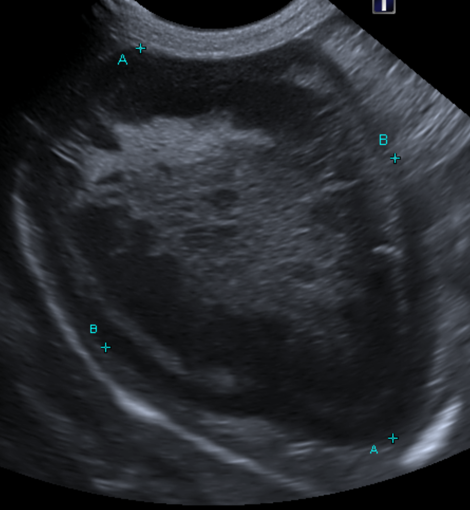
超音波画像を示します。
こちらが典型的なキウイフルーツ様を示す胆嚢です。
今回の症例の場合、検査によって偶然に見つかったため血液検査上大きな異常はありませんでしたが予防的胆嚢摘出として外科手術を行いました。
胆嚢摘出術は、病態が進行するほど難しく、リスクが高くなる手術の1つです。胆嚢は肝臓に隣接しているため胆嚢を摘出する場合肝臓からの剥離を行う必要があります。これが、炎症により肝臓に癒着している場合やゼリー状の胆汁が胆嚢内を埋め尽くし吸引が困難な場合、また、総胆管と十二指腸の閉塞を解除する必要があるため閉塞が重度な場合など症状や病態によって異なります。胆嚢破裂が認められる場合、胆汁が腹腔内に漏れでてしまうため緊急的に開腹手術を行い洗浄と胆嚢を取り除く必要があります。
術中の画像を示します。胆嚢を露出し綿棒で剥離して摘出した胆嚢です。
追加の検査としては、胆汁の培養を術中に採取し提出します。これは、胆汁中の細菌を調べる検査でありこれにより術後の抗生剤の選択が容易になります。
胆嚢摘出の手術後は入院管理も大事になってきます。血液検査における肝臓や胆嚢系の数値のモニタリング、腹膜炎による腹水の有無を確認するための超音波検査、利胆剤の内服など1週間ほど入院治療を行います。
今回の症例の場合、術後の肝臓の数値の上昇はありましたが徐々に低下傾向で腹水の貯留もなく経過良好となりました。胆嚢粘液嚢腫は、無症状のまま一生を過ごす子もいれば症状が出現した時点で病態が進行している場合、症状がないため放っておいて病態が進行し破裂してしまってから手術をするケースなど様々です。内服でのコントロールが可能な子もいるためどの時点で外科に踏み込むかなどはっきりした基準がないのが現状です。

わんちゃん、猫ちゃんともに6歳までは1年に1回の健康診断8歳以降は1年に2回の健康診断をお勧めしています。年齢を重ねることで病気の進行速度も速く症状がでていなくても血液検査やレントゲン、超音波検査で異常が見つかることや事前に予防できることは多くあります。健康を知る意味でも健康診断を受けることをお勧めします。内科だけでなく外科手術も得意としているので些細なことでもご相談ください。

執筆担当:獣医師 尹
動物医療センター元麻布トップページ
港区元麻布3-1-34 カピラ麻布1F
TEL03-6384-5351