犬の副腎皮質機能亢進症(クッシング症候群)
〇概要
副腎皮質機能亢進症は、副腎皮質から分泌される、コルチゾールというホルモンが慢性的に過剰に作用してしまう疾患です。
コルチゾールは炭水化物、蛋白質、脂質の代謝や、免疫反応、ストレス反応に関わる生命の維持に不可欠なホルモンです。
コルチゾールが過剰に作用してしまうことで、後述する様々な症状がみられます。また、合併症が生じやすく、合わせて問題となることが多い疾患です。
ヒトやネコでは稀ですが、犬では比較的多い疾患になります。一般的に中年齢から高年齢でみられます。
〇原因
原因には大きく分けて2つあります
①下垂体の腫瘍
副腎皮質刺激ホルモン(副腎皮質ホルモンの放出を促すホルモン)を分泌している、脳の下垂体と呼ばれる部分が腫瘍化し、その影響で副腎皮質から過剰にコルチゾールが分泌されます。副腎皮質機能亢進症のうち8~9割は下垂体性であると言われています。
②副腎の腫瘍
副腎が腫瘍化して、副腎皮質ホルモンが過剰に分泌されます。副腎皮質機能亢進症のうち1~2割は副腎性であると言われています。
〇症状
コルチゾールが過剰に分泌されることによる症状として以下に記載するものがあります。
・水を飲む量とおしっこの量が増えている
・食欲が増している(ゴミ漁りや盗み食いをしだす)
・お腹が膨らむ
・筋力の低下(階段を上りにくくなる)
・皮膚のトラブル(身体の左右対称の脱毛、皮膚が薄くなるなど)
さらに、原因によって以下のような症状もみられます。
下垂体性であると、発作など神経障害がみられる場合があります。
副腎性であると、腫瘍が周囲の血管を巻き込み、出血や血管が詰まってしまうリスクがあります。
また、副腎皮質機能亢進症は合併症が多い疾患で、糖尿病、高血圧、感染症などがあります。
〇診断
身体検査、血液検査、尿検査、尿検査、レントゲン検査、超音波検査などを行います。
これらの検査の結果から副腎皮質機能亢進症が疑わしい場合、血液中のコルチゾールの濃度を測定する試験を行い、診断を行います。
下垂体、あるいは副腎の腫瘍のより正確な評価のためには、CT検査やMRI検査が推奨されます。
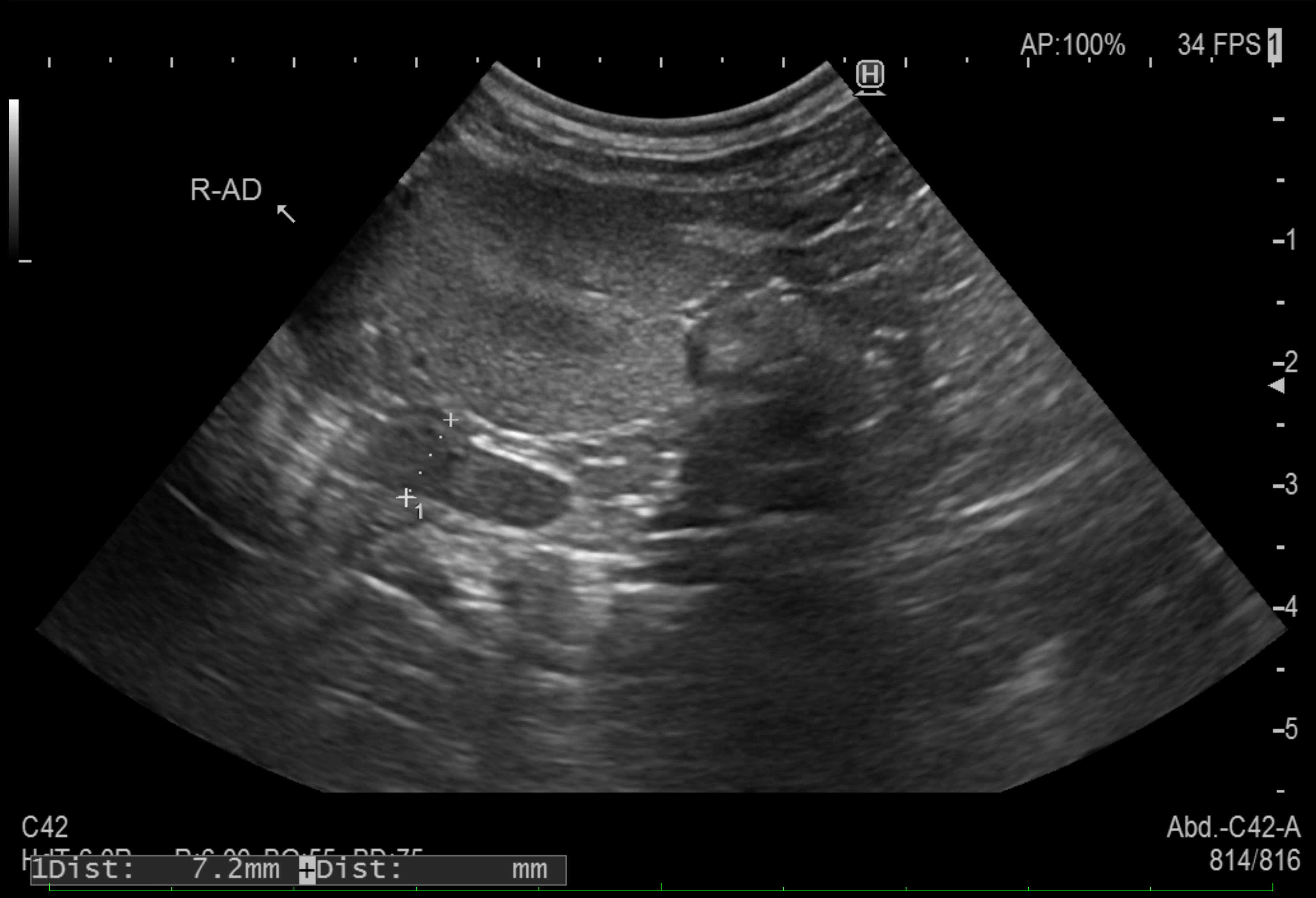
超音波検査では、腫大した副腎が確認できます。
健康な子の場合、副腎の短径の最大径が3〜5mm程度、大型犬では5~8mm程度です。
個体差もありますが、小型犬では6mm、大型犬では10mmを超えていれば副腎過形成と判断します。

7mm程度に軽度腫大した副腎の超音波画像
〇治療
治療方法には、外科療法、内科療法があります。
外科療法は下垂体腫瘍、あるいは副腎腫瘍を手術により摘出する方法です。外科療法は完治する可能性もありますが、リスクや難易度が高く、あまり実施されません。
内科療法は、副腎皮質の機能を抑える薬を用いる方法です。薬が効きすぎてしまっていないか、副作用が出てしまっていないか確認するため、定期的な検査を実施し、薬の量を調節する必要があります。
また、合併症に対する治療も合わせて実施していきます。
副腎皮質機能亢進症は症状が一見老化から起こっていることと思えてしまうものも多く、気づきにくい疾患です。
健康診断で疑わしい結果がみられた時により詳細な検査を行い見つけることが可能です。
日々ワンちゃんの様子を見て、何か気になることがあれば些細なことでも当院にご相談ください。
執筆:獣医師 臼田史仁