犬伝染性気管気管支炎(ケンネルコフ)
「最近、愛犬がゴホゴホと咳をするようになった」、「咳がひどくて夜中寝付けてなくて心配‥」と思うことはありませんか?
今回は咳などの呼吸器症状を示す病気であるケンネルコフについてご紹介します。
1.はじめに
ケンネルコフは、主に咳を症状とする伝染性の呼吸器疾患の総称です。感染動物からの飛沫や直接接触によって感染することから、ブリーダーやペットショップなど、集団飼育している場所で感染しやすいです。お迎えしたばかりの子犬さんや多頭飼育のご家庭では注意が必要です。また、気管虚脱などの呼吸器疾患を持っている犬や免疫を持たない犬では、症状が急激に悪化することがあります。
2.症状
・乾いた咳
・発熱
・苦しそうな呼吸
・肺音の異常
・食欲不振
・呼吸困難
・ぐったりする
犬の咳は意外と分かりづらく、多くの飼い主さんが「吐きたそうにする」、「えずいている」という表現をすることも多いです。また、頻度も様々で、単回・短時間のケースもあり、「病気ではない」と思ってしまう場合もあります。
細菌やウイルスなど、複合感染が起こっている場合は、肺炎・気管支炎など重篤化する検査もあり、上記の症状がより強くみられることもあります。
3.診断
診断には、いくつかの検査等を行いますが、主に飼育環境(飼っているペットの年齢や飼育頭数など)や臨床症状から総合的に判断していきます。
検査に関しては、レントゲンで気管支や肺の状態を確認していきます。また、気管そのものや心臓の異常がないかもみていきます。また、血液検査で炎症・感染症の様子も確認することがあります。ですが、血液検査では異常を伴わず、胸部X線検査においても正常かどうかの判断が難しいケースもあります。病原体の検出を目的として鼻腔や咽頭のぬぐい液の遺伝子検査を行うことも可能です。しかし、経過によっては検出されないこともあります。そのため、前述のように飼育環境や特徴的な症状を獣医師にしっかり伝えることで本疾患の診断につながります。また、咳を症状とする病気はいくつかありますが、その咳の仕方には色々あるため、ペットが咳をしているタイミングを見計らいその様子をビデオで撮っていただけると診断の手助けになります。
4. 治療方針
細菌感染が疑われる場合や、感染を予防するために抗菌薬投与をしたり、咳の症状を緩和するために、気管支拡張剤や咳止めなどの内服薬の投与も行ったりしています。また、ネブライザー(吸入器)という機械を用いて、お薬を霧状にして気管支まで直接届けるので、治療に対して大きな効果が得られます。通常は治療開始から7〜10日程度で回復しますが、治療は2週間程度継続します。
また、本疾患において最も大切なことは飼育環境を整えることです。適度な温度と湿度を保ち、運動を控えて安静にしておくことで重症化を予防します。
5.症例
ロングコートチワワ 生後5ヶ月 雌
元気食欲はあるが、数日前から咳がひどくなったということで来院されました。ペットショップでも咳の症状はありましたが、クーラーによる風邪という診断を受けており様子見していたとのことでした。
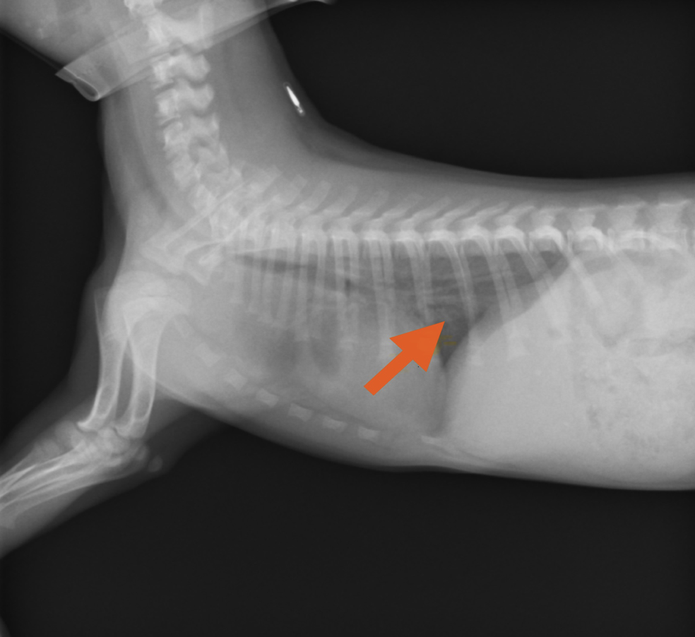
さっそく聴診や触診をしましたが、心臓や呼吸の音などに、特に問題はありませんでした。ですが、血液検査では、白血球および「CRP」と呼ばれる炎症を示す値の上昇が見られ、レントゲンでは炎症によって白くぼやけた気管支が見受けられました。
問診および各検査(血液検査、レントゲン画像検査)を総合的に評価した結果、ケンネルコフと診断されました。治療として、抗生剤の処方およびネブライザーの実施を一週間程行いました。その結果、咳の回数も徐々に減っていったため、抗生剤を休薬し、定期的なネブライザーの実施のみ行いました。その後、悪化することなく改善していったため、ネブライザーも終了しましたが、経過に問題が見られないため、治療完了としました。
↓本症例のレントゲン写真
赤矢印は、気管支と呼ばれる組織が白くぼやけており、細菌感染やウイルスによって気管支がむくんで炎症を起こしていることを示しています。

6.最後に
「咳」という一つの症状が、時には動物の命に関わる病気を潜めているかもしれないという認識が、その後の行動や大切な家族を守るきっかけになるということを多くの飼い主様にご理解いただけたら獣医師として幸いです。
もし自分のペットが咳をしている、ぐったりしていて元気がないなどの症状に気がついたときは、遠慮なく動物病院の方にご連絡、ご来院いただきご相談ください。また、その他の気になることも是非ご相談ください。
執筆担当:獣医師 大庭武浩